受け口で悩んで 歯並びが悪いことが原因で受け口に 学生のため安い治療費で受け口を治したい
-
(質問)
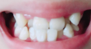
受け口で悩んでいます。
歯並びが悪いことが原因で受け口になってしまいました。
写真を撮る時に笑顔になれないことがずっと悩んでいました。
現在学生のため、お金も全然持っていません。そのためなるべく安い治療費で受け口を治したいと思っています。
おおよその治療費の合計金額と
治療期間を教えて下さるとたすかります!
大変お悩みのことと思います。
あなたの受け口は、改善の程度に限界はあると思いますが、前歯だけの部分矯正も可能かもしれません。
部分矯正で治せれば、歯を動かす期間は1年程、もちろん外から見えない裏側(舌側)矯正で矯正可能です。
部分矯正では、上前歯の拡大と下前歯を大きな歯を選択して小さくして引っ込めることによって、受け口を治します。
歯の削合は0.4~0.8mm以内で、もちろん痛くない範囲で行います。
上下の部分矯正をする場合は、基本料は50万円、装置料は上下それぞれ、メタル装置が
0円、セラミック装置が5万円、裏側(舌側)矯正は15万円の追加料金がかかります。
またこれに調整料そして保定装置料など5万円程かかります。
一度、無料相談で来院して頂ければ、詳しく説明させて頂きます。
いずれにしても、しっかりとした検査・診断をした上で、ご本人の希望にそった治療方針を決定すべきだと思います。
費用は医療費控除の対象になります。
部分矯正
https://www.aoyama.or.jp/bracket_place.html
LINEで歯並びの相談を実施中
このコラムの執筆専門家
- 小谷田 仁
- (東京都 / 歯科医師)
- 医療法人社団審美会 青山審美会歯科矯正クリニック
約30年の実績による舌側矯正と審美矯正。質の高い治療に努めます
東京都渋谷区にある、矯正歯科・審美歯科・歯列矯正の専門医です。 特に舌側矯正(裏側矯正)に関しては、開業医としては日本で初めて全面的に臨床に取り入れ症例数4400件以上(1980年1月~2011年1月)を超えています。確かな技術と安心の提供に努めています。
「歯列矯正・噛み合わせQA (症例、原因、費用)」のコラム
この受け口を治す場合 外科手術 か 矯正治療のみか? 歯列矯正で整える場合 犬歯が2本埋没(2022/06/11 15:06)
20代 生まれつき上の歯が2本足りず、受け口に悩んで 金額を抑えながら治療は? 期間・費用は(2022/05/21 10:05)
19歳 物心ついた頃から下顎が前に出て 今では口を閉じてもしゃくれる状態 保険治療は(2022/05/11 13:05)
受け口で横顔の写真を撮ると顎がしゃくれて 就職活動で矯正治療は目立たないように(2022/04/26 08:04)
子供の頃から歯並びと、受け口で悩んで 成長と共に上の前歯が下の歯よりも前に出る(2022/03/11 13:03)
このコラムに類似したコラム
反対咬合と歯並びが気になります。特に反対咬合を治したい。大体の治療費や方法や期間等を教えて頂きたい 小谷田 仁 - 歯科医師(2020/07/21 16:15)
乱杭歯で受け口です。上顎のみの舌側矯正を検討、治療費は 小谷田 仁 - 歯科医師(2011/09/07 21:29)
(写真相談) 綺麗な歯並びになりたい、どんな治療、期間と費用は 山本 治 - 歯科医師(2010/06/29 16:50)
歯並びの悪い箇所が歯周病 歯の矯正後に受け口になる為 手術が必要と言われ 小谷田 仁 - 歯科医師(2022/03/23 14:53)
子供の頃から歯並びと、受け口で悩んで 成長と共に上の前歯が下の歯よりも前に出る 小谷田 仁 - 歯科医師(2022/03/11 13:42)








