切端唆合を治し、正中線を合わせ、下の歯並びもきれい 体にとって健康な噛み合せにしたい
-
(質問)
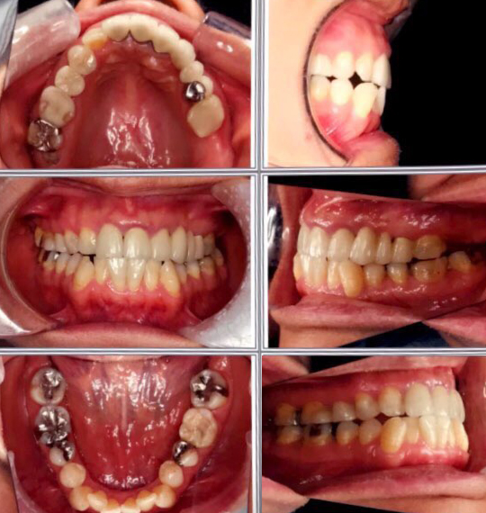
【左上の歯についてのご説明】
左上1」2」3、4、5」のブリッジのうち、この写真撮影後に2番を抜歯したため、現在2、3、4は欠損して、今は仮の入歯が入っています。
左上1番と5番は神経が無く、7番と8番は欠損です。
20年前に、左上1〜5番のブリッジの土台を作った医師に、噛み合せが合っていないことを指摘されました。
【矯正に期待すること】切端唆合を治し、正中線を合わせ、下の歯並びもきれいにする。体にとって健康な噛み合せにしたい。
問1. この状態で矯正は可能ですか?大学病院では、不安視されました。
問2. 左前歯2、3、4の欠損部に、最終的に入れ歯かインプラントを入れることになると思いますが、矯正を希望してます。
2、3、4の欠損部は、矯正中、どうすれば良いですか。入歯のまま出来ますか?
問3. 矯正前に虫歯を治療する場合、セラミックでなく暫定的にプラスチック材を詰めておいた方が良いですか?(パラジウムアレルギーなため、過去の銀歯を白い素材に変えたいです)
問4.また、「噛み合わせは矯正によって自然に合うようになるから、矯正後に噛み合わせを整える必要はほとんどなくなる」
と書いてる人がいましたが、本当ですか?
問5. 写真を参照されて、矯正に必要な期間と、抜歯が必要か、も教えてください。
(回答)
写真で見た限りでは、上顎前歯に比較して、下前歯のサイズが大きく切端咬合になっている様です
一般的に、矯正だけで切端咬合を治すためには、最小限、右側第一小臼歯(糸切り歯の後ろの歯)1本の抜歯か、下前歯を削って小さくする必要があります。
この場合、少なくとも下顎全体の矯正が必要で、下顎全体の矯正の基本料は50~55万円+装置料8~25万円となります。装置料はメタル装置が0円、セラミック装置が8万円、裏側(舌側)矯正は25万円になります。
またこれに検査料、調整料そして保定装置料など10万円程かかります。
上顎の矯正も同時に行う必要はありますが、人工歯が入っているので、まず、下顎だけで
治療が可能か、治療計画をたてるべきでしょう。
いずれにしても、しっかりとした検査・診断をした上で、ご本人の希望にそった治療方針を決定すべきだと思います。
このコラムの執筆専門家
- 小谷田 仁
- (東京都 / 歯科医師)
- 医療法人社団審美会 青山審美会歯科矯正クリニック
約30年の実績による舌側矯正と審美矯正。質の高い治療に努めます
東京都渋谷区にある、矯正歯科・審美歯科・歯列矯正の専門医です。 特に舌側矯正(裏側矯正)に関しては、開業医としては日本で初めて全面的に臨床に取り入れ症例数4400件以上(1980年1月~2011年1月)を超えています。確かな技術と安心の提供に努めています。
「歯列矯正・噛み合わせQA (症例、原因、費用)」のコラム
この受け口を治す場合 外科手術 か 矯正治療のみか? 歯列矯正で整える場合 犬歯が2本埋没(2022/06/11 15:06)
20代 生まれつき上の歯が2本足りず、受け口に悩んで 金額を抑えながら治療は? 期間・費用は(2022/05/21 10:05)
19歳 物心ついた頃から下顎が前に出て 今では口を閉じてもしゃくれる状態 保険治療は(2022/05/11 13:05)
受け口で横顔の写真を撮ると顎がしゃくれて 就職活動で矯正治療は目立たないように(2022/04/26 08:04)
子供の頃から歯並びと、受け口で悩んで 成長と共に上の前歯が下の歯よりも前に出る(2022/03/11 13:03)
このコラムに類似したコラム
人気のマウスピース矯正について 石井 府中 - 歯科医師(2023/08/23 18:32)
矯正相談 上前歯の出っ張り下の歯並びがガチャガチャ 唇にあたる部分が口内炎 小谷田 仁 - 歯科医師(2022/04/14 11:24)
17歳切端咬合に悩み 大学病院で外科手術でしか 矯正で切端咬合を治すの/は可能? 小谷田 仁 - 歯科医師(2022/01/17 19:02)
下の歯が年々ズレて前に出て 反対咬合の歯が増えた 見た目も歪んで 手術なし、矯正のみで治る? 小谷田 仁 - 歯科医師(2021/05/11 13:35)
下の歯の前歯がガタガタになっているのが気になり 矯正にかかるおおよその費用を知りたい 小谷田 仁 - 歯科医師(2021/01/23 21:28)








