これは開咬でしょうか?噛み合わせが悪い気が 顔が歪んでる? 親知らずを抜く
-
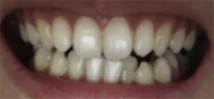
(質問)
これは開咬でしょうか?
左側の親知らずが強く噛み合って左側の噛み合わせが悪い気がします。また、左側の咬筋が発達しており、顔が歪んでるように見え、顔の左側が強張ってるような感じがします。
親知らずを抜くことによってこれは改善されるでしょうか?
親知らずを抜くことによって開咬が悪化するというか記事をネットで見たのですが
(回答)
一般に開咬は前歯の開咬が多いいのですが、あなたの場合は奥歯を含めた全体的な開咬
と言えるでしょう。
下顎の偏位、上下の歯列の歪みによって、奥歯が噛み合っていません。
親知らずを抜くことによってこれは改善される可能性はありますが、限定的です。
まず、矯正歯科専門医や歯科大学病院に受診して、現在の噛み合わせの審査、診断を
した上で、必要があれば親知らずの抜歯を考えるべきでしょう。
いずれにしても、上下または下歯列全体の矯正が必要と思われますので、早い時期に
矯正歯科専門医へ相談して下さい。必ず治る方法はあります
矯正費用は医療費控除の対象になります
LINEで歯並び相談を実施中
このコラムの執筆専門家
- 小谷田 仁
- (東京都 / 歯科医師)
- 医療法人社団審美会 青山審美会歯科矯正クリニック
約30年の実績による舌側矯正と審美矯正。質の高い治療に努めます
東京都渋谷区にある、矯正歯科・審美歯科・歯列矯正の専門医です。 特に舌側矯正(裏側矯正)に関しては、開業医としては日本で初めて全面的に臨床に取り入れ症例数4400件以上(1980年1月~2011年1月)を超えています。確かな技術と安心の提供に努めています。
「歯列矯正・噛み合わせQA (症例、原因、費用)」のコラム
開咬はどのような矯正をしますか? 矯正の費用は? 痛さは感じる? どのくらいで治りますか?(2022/07/05 20:07)
開口?と顎か曲がっている これは変形症ですか?矯正費用は?手術は必要?矯正期間は?(2022/06/03 19:06)
開咬と受け口に悩んで 外科手術が1番良いが社会人 休むことなく治す方法は? 費用リスクは?(2022/01/22 12:01)
奥歯がおなじ位置にあり、前歯がくっつきません。常に顎が疲れて矯正したい 手術じゃないと治せないと(2021/06/29 10:06)
前歯が噛み合わず奥歯を噛んだ状態で隙間 治すには外科しかない?費用は(2021/05/22 15:05)
このコラムに類似したコラム
かみ合わせが悪く歪みあり 顎関節症の様で、肩や腕まで痛みます 歯列矯正で改善されるのなら? 小谷田 仁 - 歯科医師(2021/07/12 12:31)
前歯の開口が 歯並びと噛み合わせを治したい 裏側矯正をしたい 値段、期間など 小谷田 仁 - 歯科医師(2018/08/12 21:26)
親知らずが生え前歯が出っ歯に。開口?かいこう?開咬?と言われ 小谷田 仁 - 歯科医師(2010/09/27 13:46)
前歯の2本が大きく前側に出て 部分矯正で可能? 噛み合わせ的に下も部分矯正必要? 小谷田 仁 - 歯科医師(2022/10/06 14:19)
開咬はどのような矯正をしますか? 矯正の費用は? 痛さは感じる? どのくらいで治りますか? 小谷田 仁 - 歯科医師(2022/07/05 20:33)








