- 神谷 忍
- 神谷デンタルオフィス 藤沢インプラントセンター 理事長・歯科医師
- 神奈川県
- 歯科医師
対象:一般歯科・歯の治療
- 赤岩 経大
- (歯科医師)
- 赤岩 経大
- (歯科医師)
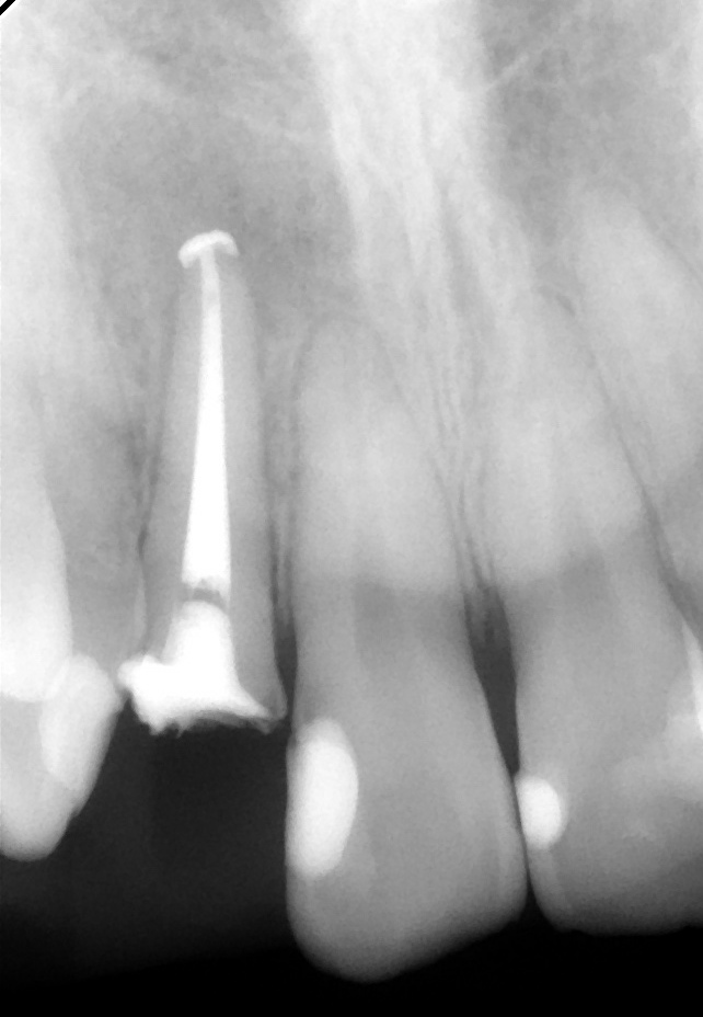
残念ながら日本においては、根の治療の不備によって
根尖病巣:http
をつくってしまっている歯が本当にたくさん見られるのをご存知でしょうか。
レントゲンでは黒い影として歯根の先に見られます。ひどくなるとズキズキ痛んだり、ぱんぱんに
腫れてしまったり、膿みがでてきたりします。とにかく急性期には堪え難い状態になりますが、
慢性期はそんなにでもありません。しかしこれを繰り返しているうちに、顎の骨が溶けていって
しまいます。
そして抜歯に至る事になります。あまり骨が溶けていますとインプラント治療もややこしく
なります。
しかし適切に根管治療を行えば、根尖病巣を治癒に導くことも充分可能です。
もとを正せば原因は、細菌感染です。虫歯から、根管治療の不備から、土台や被せものからの
リーク これをコロナルリーケージといいます。
とにかく根管内から細菌を徹底的に排除する 機械的にまた化学的に拡大清掃する
超音波も併用します、ここで登場してきたのが マイクロスコープです
暗くて小さく狭いところを 明るく大きく拡大して見ることが可能です
手探りで感にたよっていた治療が 肉眼で確認しながら確実に行えます
モニターに映し出したり 記録する事も可能になりました。
根管治療の世界では画期的な進化といえるでしょう
また歯科用コンビームCTによる診断を併用すると今までと、まったく違った世界が見えてきます。
ニッケルチタンロータリーファイル 各種洗浄材 根管充填材 MTAセメント 超音波インスツルメント 100%ラバーダムの装着 など海外の先進国ではどんどんとりいれられています。
すなわちここ数年できわめて大きな変革がおこりつつあるのです。
しかしこれらの最新秘密兵器は現在の日本の保険診療ベースではほとんど、その評価はありません。
何卒 患者様におきましては、最新機材を駆使した 最新技術の進歩発展のために
保険外の費用のご負担もふくめた、充分なご理解を賜りますよう心からお願い申し上げます。







