歯医者に上の歯の乱杭歯?を矯正した方がいいと 後ろに下がった歯はコンプレックス 部分矯正は可能?
-
(質問)
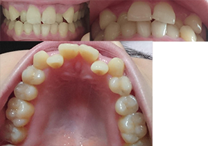
虫歯治療の為に歯医者に行ったところ、上の歯の乱杭歯?を矯正した方がいいと指摘を受けました。当方自身も後ろに下がった2本の歯はコンプレックスだったので、出来れば矯正したいです。また前歯の幅が大きいので、前歯も少し削って小さくなったらいいなと思っております。
しかし、社会人なのですが金銭的にあまり余裕がない為、可能だったら後ろに下がった2本の歯を前に出すだけの部分矯正を希望なのですが、写真を見る限り部分矯正は可能でしょうか?全体矯正は望んでおりません。
直接歯科医師の方にお聞きすればいいお話だと思いますが、歯列矯正を絶対にしようという決断まで今一歩踏み出せないので一度確認をさせていただきたいと思いましたので、今回メールを送らせていただきました。
(回答)
お悩みの事と思います。あなたのケースは軽症と言えるでしょう。
写真だけで正確な咬み合わせを判断するのは難しいですが、上の前歯は横幅(サイズ)がかなり大きい様に見えます。歯が大きいために前歯が押し合って前歯2本が内側に引っ込んだ状態になっています。
あなたの希望が、前歯がうまく並べば満足出来るなら前歯だけの部分矯正で治すことは可能と思われます。いずれにしても、気になる治したい部分の矯正を優先的に考えるべきでしょう。
資料(歯型やレントゲンなど)をとってカウンセリングを受け、虫歯が無ければ直ぐに治療をスタートすることが出来ます。
部分矯正で前歯だけ矯正する場合は、抜歯する必要は有りませんが、一般的には大きな前歯を選択して、小さくする(0.4~0.8
mm程)必要があります。もちろん、痛くない範囲で削ります。
前歯だけの部分矯正で治せれば、歯を動かす期間は1年以内、もちろん外から見えない裏側(舌側)矯正で矯正可能です。
上前歯の部分矯正を選択する場合は、費用は基本料30~35万円、装置料0~15万円の合計となり、チエック料もいれて総額35~55万円程度になります。
装置料はメタル装置が0円、セラミック装置が5万円、裏側(舌側)矯正は15万円になります。
一度、無料相談で来院して頂ければ、詳しく説明させて頂きます。
いずれにしても、しっかりとした検査・診断をした上で、ご本人の希望にそった治療方針を決定すべきだと思います。
LINEで歯並びの無料相談を実施中
このコラムの執筆専門家
- 小谷田 仁
- (東京都 / 歯科医師)
- 医療法人社団審美会 青山審美会歯科矯正クリニック
約30年の実績による舌側矯正と審美矯正。質の高い治療に努めます
東京都渋谷区にある、矯正歯科・審美歯科・歯列矯正の専門医です。 特に舌側矯正(裏側矯正)に関しては、開業医としては日本で初めて全面的に臨床に取り入れ症例数4400件以上(1980年1月~2011年1月)を超えています。確かな技術と安心の提供に努めています。
「歯列矯正・噛み合わせQA (症例、原因、費用)」のコラム
矯正相談 上前歯の出っ張り下の歯並びがガチャガチャ 唇にあたる部分が口内炎(2022/04/14 11:04)
重度の乱ぐい歯、上下2本ずつ親知らずも埋まり 舌側矯正で綺麗に 価額、期間はどのくらい?(2021/12/04 14:12)
昔から歯並びが悪く悩んで 30代になりますが矯正は可能?どういった治療や費用が予想?(2021/11/27 12:11)
顎が小さい、大きな八重歯が原因で歯並びが悪い 矯正は高額 どの期間、金額で歯列矯正できそう?(2021/11/06 17:11)
写真の通り八重歯といった状況 この歯列の治療方法は? 施術内容と治療期間教えて(2021/06/25 11:06)
このコラムに類似したコラム
前歯の部分矯正を考えています。費用等も伺いたいです。 小谷田 仁 - 歯科医師(2022/08/22 19:04)
左前歯が右前歯に重なっている状態 この前歯は部分矯正では厳しい? 小谷田 仁 - 歯科医師(2021/06/19 21:47)
上下前歯が乱杭歯でデコボコしており治したい 写真は部分矯正で治療可能? 治療期間と手技を 小谷田 仁 - 歯科医師(2018/06/21 20:35)
出っ歯がコンプレックスで矯正をしたい 上の前歯2本を引っ込めたいのですが部分矯正で 小谷田 仁 - 歯科医師(2018/05/05 20:12)
コンプレックスで笑えません。部分矯正できますか?一番低価格な方法で前歯2本だけを治したい 小谷田 仁 - 歯科医師(2015/10/23 11:57)








