歯並びのせいで、食事や会話にも支障が出て 安く治療したい どのような治療?22歳
-
(質問)
歯並びのせいで、食事や会話にも支障が出て気になります。上の歯も下の歯も重なっていて、下は正中線も合っていないのが悩みです。奥歯も内側に倒れこんでいて、噛み合わせも悪いです…。最近になってまた上の犬歯が動いて下がってきた気がします。このままだとさらに悪化しそうです。
この重なりをできるだけ短期間で、なるべく安く治療したいのですが、どのような治療の流れになるでしょうか?
通院も含めてのトータルの費用、期間、方法が知りたいです。22歳成人です。
(回答)
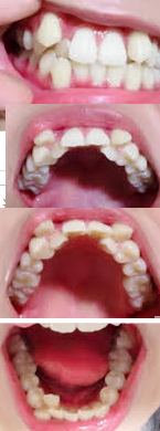
写真を見せて頂いた限りでは、前歯のサイズはかなり大きい様です。
乱杭歯の前歯を整列して引っ込めるためには、一般的には歯を抜くか、歯のサイズを小さくする方法が用いられます。
あなたの希望が、前歯がうまく並べば満足出来るなら、前歯だけの部分矯正で治すことは可能と思われます。
いずれにしても、気になる治したい部分の矯正を優先的に考えるべきでしょう。
部分矯正で前歯だけ矯正する場合は、大きな前歯を選択して小さくする(0.4~0.8 mm程)必要があります。もちろん、痛くない範囲で削ります。
ただし、写真を見た限りでは、あなたの場合は上顎の犬歯(八重歯)2本の抜歯と下顎の前歯1本の抜歯が必要になる可能性があります。
前歯だけの部分矯正で治せれば、歯を動かす期間は1年以内、もちろん外から見えない
裏側(舌側)矯正で矯正可能です。
部分矯正を選択する場合は、費用は基本料30~35万円、装置料0~15万円の合計となり、チエック料もいれて総額30~55万円程度になります。
装置料はメタル装置が0円、セラミック装置が5万円、裏側(舌側)矯正は15万円になります。
上下の部分矯正をする場合は、上記の費用に基本料は20万円、装置料はメタル装置が0円、セラミック装置が5万円、裏側(舌側)矯正は15万円の追加料金がかかります。
ただし、一般的な方法としては、上下顎全体の矯正が必要になり、糸切り歯の後ろの歯を左右2本抜歯します、歯を動かす治療期間は歯を抜いた場合は2年程になります。
もちろん上下全体の矯正をするのが理想的です。
上下顎全体の矯正の場合、裏側(舌側)矯正を選択する場合は、費用は基本料95万円、
装置料40万円の合計となり、チエック料もいれて総額145万円程度になります。
装置料は装置が裏側(舌側)矯正では40万円、外側のセラミックでは15万円、金属では0円です。
いずれにしても、しっかりとした検査・診断をした上で、ご本人の希望にそった治療方針を決定した上で費用が決定されることになります。
LINEで歯並び相談を実施中(QA公開は相談者の同意を得たものだけ掲載しています)
このコラムの執筆専門家
- 小谷田 仁
- (東京都 / 歯科医師)
- 医療法人社団審美会 青山審美会歯科矯正クリニック
約30年の実績による舌側矯正と審美矯正。質の高い治療に努めます
東京都渋谷区にある、矯正歯科・審美歯科・歯列矯正の専門医です。 特に舌側矯正(裏側矯正)に関しては、開業医としては日本で初めて全面的に臨床に取り入れ症例数4400件以上(1980年1月~2011年1月)を超えています。確かな技術と安心の提供に努めています。
「歯列矯正・噛み合わせQA (症例、原因、費用)」のコラム
矯正相談 上前歯の出っ張り下の歯並びがガチャガチャ 唇にあたる部分が口内炎(2022/04/14 11:04)
重度の乱ぐい歯、上下2本ずつ親知らずも埋まり 舌側矯正で綺麗に 価額、期間はどのくらい?(2021/12/04 14:12)
昔から歯並びが悪く悩んで 30代になりますが矯正は可能?どういった治療や費用が予想?(2021/11/27 12:11)
顎が小さい、大きな八重歯が原因で歯並びが悪い 矯正は高額 どの期間、金額で歯列矯正できそう?(2021/11/06 17:11)
写真の通り八重歯といった状況 この歯列の治療方法は? 施術内容と治療期間教えて(2021/06/25 11:06)
このコラムに類似したコラム
ひどい歯並びに悩んでいる 治すにはどのくらいの費用が? 前歯の目立つ部分だけ部分矯正したい 小谷田 仁 - 歯科医師(2022/08/09 13:22)
歯科矯正を検討 この歯並びは、部分矯正(前歯)は可能? 大体の費用は? 小谷田 仁 - 歯科医師(2021/09/13 14:34)
歯科矯正を検討中 この歯並びは前歯の部分矯正は可能? 大体の費用? 小谷田 仁 - 歯科医師(2021/03/29 12:48)
歯並びを矯正したい 前歯が奥に引っ込んで このような歯並びは どのような矯正をして費用と期間は? 小谷田 仁 - 歯科医師(2018/05/27 10:09)
下の前歯の歯並びが気になります。 希望は下の前歯の歯並びだけを直したい、部分矯正できますか? 小谷田 仁 - 歯科医師(2018/05/07 20:14)








